Dr. Harsh Shah


B.D.S., M.D.S

Oral & Maxillofacial Surgeon & Implantologist

Civil Hospital, Ahmedabad

Dr Harsh Shah is a well experienced and trained Oral and Maxillofacial Surgeon and Implantologist in ahmedabad providing Dental and Maxillofacial treatments with international standards. Dr Harsh has done his BDS and MDS (Oral and Maxillofacial Surgery) from Government Dental College and Hospital(Civil hospital) ahmedabad which is one of the best dental colleges in India.

His expertise combines the disciplines of dentistry, medicine and surgery including Implant placement, Extraction of teeth, Third molar removal, Dento-alveolar surgery, Oral pathology, Face and jaw fractures, Cyst and tumors of the jaw, Screening and treatment of oral cancer, Laser treatment, Treatment of reduced mouth opening, Jaw joint problems and Orofacial infection.

Dr Harsh is competitively qualified with 7 years of experience and seeks to enhance patient comfort across the full spectrum of surgical procedures of the mouth, face and jaws. He has publications of articles in different scientific journals. He is continually updating his knowledge by attending various national and international meets for advanced in Oral and Maxillofacial surgery.

Dr Harsh’s dream, determination, devotion and dedication resulted in creation of HD Dental Clinic and Maxillofacial Center in Navrangpura, Ahmedabad with the vision of bringing the best in dental implant technology and oral and maxillofacial surgery.

Dr. Dhara Shah


B.D.S., M.D.S

Conservative Dentistry and Endodontics

Civil Hospital, Ahmedabad

Dr Dhara Shah is dedicated to the most advanced dental treatment and technology incorporating proven dental systems that make your appointments better, faster and safer. Dr Dhara has done his BDS and MDS (Conservative Dentistry and Endodontics) from Government Dental College and Hospital(Civil hospital) ahmedabad which is one of the best dental colleges in India. Throughout her career she has been dedicated to excellence in her work. She is continually updating her knowledge in various field of dentistry by attending various national and international meets for advanced dentistry. She has publications of articles in different scientific journals. Despite her expertise and technical proficiency, Dr Dhara is incredibly caring and gentle with her patients and patient care is always her first priority

Dr Dhara strive for excellence in the clinical practice of endodontics and provide exceptional patient care in the most efficient, effective and ethical manner.

About The Clinic

HD Dental Clinic and Maxillofacial Center located in the center of the Ahmedabad, specialize in beautifying smiles, improving facial aesthetics, maintaining your dental and oral health, and helping you improve your appearance and dental hygiene.

Dr Harsh Shah and Dr Dhara Shah with their dedicated team provide the most up-to-date care in a comfortable and caring environment. You can rely on HD Dental clinic and maxillofacial center to spend quality time with you to understand your long-term oral hygiene goals and short-term dental needs – always ensuring excellence in your treatment.

High Touch, High Care Dentistry Includes :

· Digital x-rays
· Painless Dental Procedures
· Updated, modern equipment

Early diagnostic tools for efficient preventative dentistry to deliver healthy, pain-free smiles to all patients.

Combining the technical knowledge with the latest techniques in the field of dentistry our team is fully equipped to practice minimally invasive dentistry utilizing materials that have similar physiological characteristics as healthy natural teeth. These new techniques and technology improve the level of care patients receive and often lead to less time in the dental chair with broad array of Dental Treatments services under one roof.

With emphasis in Cosmetic Dentistry and Facial Aesthetics, our specialized team is more than happy to take care of all of your dental needs.

It would be our privilege to be your dental care provider. Contact HD Dental Clinic and Maxillofacial Center today to book your appointment.

• Why Choosing an Oral Surgeon is Better

Oral and maxillofacial surgeons go through specialty training of three-year surgical hospital residency program alongside medical professionals. They learn to diagnose, treat and manage dental and health issues pertaining to the mouth, face, jaws, and surrounding soft tissues. Oral surgeons have far more expertise and training in complex treatment protocols of face, mouth and jaw surgeries.

Optimize your oral health and enjoy the confidence-boosting effects of a beautiful smile and Experience the gentle difference in single sitting root canal treatment .

• What’s the difference between a dentist and an endodontist?

Just like a doctor in any other field, endodontists are specialists because they’ve completed an additional three years of training beyond BDS. Their additional training focuses on diagnosing tooth pain and performing root canal treatment, Cosmetic Dental Procedures and other procedures relating to the interior of the tooth. In many cases, a diseased tooth can be saved with endodontic treatment. For this reason, endodontists proudly refer to themselves as Specialists in Saving Teeth.

• Endodontists Use Cutting-Edge Technologies

Endodontists have materials and equipment designed to make your treatment more comfortable, successful and faster. They use a small sheet of latex called a dental dam to isolate the tooth during treatment, protecting the rest of your mouth. Digital radiographs and 3-D imaging allow endodontists to take detailed pictures of tiny tooth anatomy to better see the root canals and any related infections. The space inside root canals is very small! Endodontists use magnification with illumination to better see

Testimonials

Our Success

Closure of space between front teeth with Zirconia Crown

Closure of space between teeth with Veneers

Closure of space between teeth with Veneers

Full arch Rehabilitation with Ceramic Crown and Bridge

Full arch Rehabilitation with Ceramic Crown and Bridge

Full Mouth Rehabilitation of patient with reduced mouth opening

full mouth rehabilitation with implant supported fixed denture

lower full arch rehabilitation with ceramic crown and bridge

replacement of front teeth with zirconia crown

replacement of short front tooth with e max crown

re root canal treatment of tooth with swelling

root canal treatment of tooth with swelling

root canal treatment of tooth with swelling

root canal treatment

restoration of badly broken tooth zirconia crown

implant-supported-fixed-teeth

complete removable denture

FAQs

Frequently asked questions

General

  •  Emergencies

  •  General Dentistry

  •  Dental Checkups

  •  Mouth Cancer

  •  Gum Disease

  •  Bad Breath

  •  Wisdom Teeth Removal

  •  Chronic Headaches

Cosmetic & Specialist

  •  Cosmetic Dentistry

  •  Teeth Whitening

  •  Veneers

  •  Dental Crowns

  •  Dental Implants

  •  Root Canal

Emergency FAQs

What do I do if I knock out my tooth?

For a knocked-out permanent or adult tooth, keep it moist at all times. If you can, try placing the tooth back in the socket without touching the root. If that's not possible, place it in between your cheek and gums, in milk, or use a tooth preservation product that has the ADA Seal of Acceptance. Then, get to your dentist right away.

What if I crack my tooth?

For a cracked tooth, immediately rinse the mouth with warm water to clean the area. Put cold compresses on the face to keep any swelling down. See your dentist as soon as possible.

How do I treat a toothache?

For toothaches, rinse your mouth with warm water to clean it out. Gently use dental floss to remove any food caught between your teeth. Do not put aspirin on your aching tooth or gums; it may burn the gum tissue. If the pain persists, contact your dentist.

General Dentistry FAQs

Why do regular dental visits matter?

Regular dental visits are important because they can help spot oral health problems early on when treatment is likely to be simpler and more affordable. They also help prevent many oral problems from developing in the first place. Visiting your dentist regularly is also important because some diseases or medical conditions have symptoms that can appear in the mouth.

How often do I have to go to the dentist?

There is no one-size-fits-all dental treatment. Some people need to visit the dentist once or twice a year; others may need more visits. You are a unique individual, with a unique smile and unique needs when it comes to keeping your smile healthy.

What should I look for when choosing a dentist?

You may want to call or visit more than one dentist before making your decision. Dental care is a very personalized service that requires a good relationship between the dentist and the patient. During your first visit, you should be able to determine if this is the right dentist for you.

What are the early signs and symptoms of mouth cancer?

Cancer can occur in any part of the mouth, on the tongue, lips and in the throat. Sadly, mouth cancer has a very high mortality rate. This is due to late detection. The positive news is that a "precancer" will sometimes form a long time before cancer develops, and if detected early, it can be treated rapidly with an excellent chance of prevention or cure. Some of the early symptoms of mouth cancer include: (This is by no means an exhaustive list, but a list of some of the more common symptoms.)

  • An ulcer or a sore throat that has persisted longer than three weeks
  • A white or red patch on the soft tissue, gums, tongue or lining in the mouth
  • A chronic sore throat or hoarse voice that persists for longer than six weeks
  • Difficulty in swallowing or a constant feeling that something is caught in the throat
  • A neck swelling that persists longer than three weeks
  • Numbness of the tongue or other area of the mouth

 

How can I reduce the risks of mouth cancer?

Smoking is a major cause of mouth and throat cancer and gum and bone disorders in the mouth. The team at Dental Perfection recognise that quitting smoking is a difficult challenge for most people and have established a quit smoking program to support and encourage their patients to quit and improve their confidence and their health and reduce their risk of mouth cancer. Limiting the amount of alcohol you drink will also reduce the risk of mouth cancer, as will attending the dentist regularly for your check-ups and cancer screenings.

What happens if the dentist detects an abnormality?

If the dentist wants to confirm that a lesion is benign or is concerned about a suspicious lesion, a brush biopsy may be suggested. A brush biopsy is a painless test for oral cancer, which does not require an injection or any topical anaesthetic. It is simply a small brush, that the dentist will use to scrape some cells from the suspicious area. These cells are then prepared on a slide and delivered to the testing laboratory. The results are usually received within ten days and will indicate the nature of the lesion. It is a very safe and accurate test.

What causes bad breath?

While bad breath originates in the mouth 80% of the time, at other times it is a symptom of underlying disease which needs the earliest possible treatment.

Persistent bad breath is usually caused by the smelly gases of the bacteria that coats your teeth and gums. Smoking, garlic and onions can add to the problems. Certain illnesses such as diabetes, liver or kidney problems, nasal or stomach conditions and "dry mouth" (xerostomia) that affects the flow of saliva can be the cause of bad breath.

Is bad breath a sign of gum disease?

Persistent bad breath or a bad taste in your mouth can be an indicator of gum disease and other oral diseases so it is important that you uncover what's causing the problem. If constantly have bad breath, make an appointment to see your dentist. Regular checkups allow your dentist to detect any problems as your bad breath may be the sign of a medical disorder. If your dentist determines that your mouth is healthy, you may be referred to your primary care physician.

 

What is the treatment for bad breath?

Once we have determined the degree and cause of the breath problem, the treatment can take many forms. If medical problem are found to be the underlying cause of bad breath, proper referral will be made. Recommendation will be made by the dentist to correct and treat any dental disease that is directly related to the breath problem or gum disease.

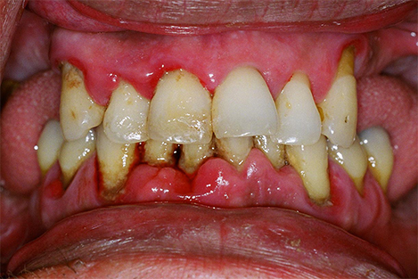
What are the symptoms of gum disease?

Common symptoms of receding gums and bone loss are listed below.

  • You may notice that the teeth look longer than before or that the gum looks like it is pulling back from the teeth
  • You may notice a yellow edge at the margin of the tooth where it meets the gum (exposed tooth structure called Dentine)
  • You may suffer sensitivity at the gumline
  • You may notice deep pockets of gum forming in between the teeth
  • You may see or feel spaces between the teeth developing
  • You may notice a change in the way the teeth come together when you bite
  • Your teeth may be mobile (moving)
  • Your gums may be swollen, tender or bleed easily
  • You may suffer from bad breath or notice pus from the gum

 

What is involved in gum disease treatments?

A conservative and non-invasive approach via preventative hygiene, root planing and regular dental examinations is always the ultimate aim, however there are occasions when unhealthy tissue cannot be repaired in this way. Advanced techniques and superior materials can now be used to treat irreversible damage caused by periodontal disease or tooth brush abrasion.

I have diabetes. Does that mean I will get gum disease?

Diabetes is a chronic disease which affects your body's ability to process sugar. The resulting high blood sugar can cause problems with your eyes, nerves, kidneys, heart and other parts of your body. Diabetes can also lower your resistance to infection and can slow the healing process. If you have diabetes, you are at greater risk of developing some oral health problems, including gum disease, so it's important that you are extra diligent with your oral health. Always brush your teeth twice a day for two minutes with fluoride toothpaste, floss daily, and see your dentist regularly.

Chronic headaches - are they a dental problem?

A large number of cases involving headaches, muscle spasms and pain in the jaw are a dental problem. If your teeth don't close together properly, are heavily worn, crowns are constantly breaking, you have ringing in your ears and difficulty in opening or closing your mouth, you may well be suffering from TMJ problems.

What does TMJ treatment involve?

We will assess your problem by taking a full medical history. We will then examine your bite, find the first contact when your teeth come together and look for evidence of grinding or clenching. A set of models will be taken to be analysed on an articulator to mimic the function of the TMJ.

If the pain is acute a Jig will be fitted to the front teeth which will separate the way you bite on the back teeth.

Once relief is obtained, a plastic appliance will be fitted very accurately so that when you bite on it, all your teeth meet at the same time in a position where your muscles are relaxed. If the problem is more complicated, we will advise on a treatment plan to correct the problem.

What is oral surgery?

Oral Surgery involves the diagnosis, management and sometimes surgical or medical treatment of conditions of the mouth and the adjacent and surrounding structures. Oral Surgery is closely related to Oral & Maxillofacial Surgery/Medicine.

Should I have my wisdom teeth removed?

Not all wisdom teeth need to be removed. However, in some cases, the arrival of these teeth can cause serious problems, resulting in pain, swelling, or infection. The most common problem we see is that there is often not enough room for the wisdom teeth to come through when this happens removal of impacted wisdom teeth is recommended.

What is the procedure for removal of wisdom teeth?

In most cases, wisdom teeth removal can be carried out under local anaesthetic to numb the tooth and surrounding area; meaning you may not need to be put to sleep for the procedure. Particularly nervous patients can speak to their oral surgeon about sedation prior to their appointment.

If your wisdom teeth have already come through, but you still need to be removed due to overcrowding, infection or decay, the extraction is often similar to that of a molar tooth.

However, impacted wisdom tooth removal is different. When a tooth has not yet come through, a very small cut must be made in the gum in order to access it. In some cases, a small piece of the bone may need to be removed if it is also covering the tooth.

Cosmetic & Specialist Dentistry FAQs

How does teeth whitening work?

We provide you with custom-made mouth trays and several Polanight syringes so that you can whiten your teeth from home.

These syringes contain a carbamide peroxide whitening gel. This gel is positioned between your teeth and the tray. The gel comes in a variety of strengths with the higher percentages requiring less contact time.

When applied to the tooth, the chemicals break down into water and oxygen ions. Whilst the water will work to nourish and hydrate your tooth, the oxygen is able to enter the enamel. On entry, the ions break down long stain molecules which makes them lose their colour.

How white will my teeth go?

This will depend on the concentration of whitening gel used, as well as the frequency and length of time you use it for. But, there will be a limit on how white your teeth will get.

In most cases, you can expect your teeth to lighten by at least three to four shades. The teeth whitening gel will bring your teeth to their optimum level of natural whiteness, and then plateau. Once your teeth reach the level of brightness you want, or are not getting any lighter with the treatment, that’s when you know your treatment is complete.

The best teeth whitening results are normally seen after two or three weeks of using Polanight every day.

How long will the results of my teeth whitening last?

Again, this can vary. But, the results of your teeth whitening will last much longer if you make the effort to maintain them.

Coffee, tea, red wine and smoking also stain your teeth but with a good home oral hygiene routine and regular appointments with your dentist, your teeth could stay white for years.

Am I suitable for teeth whitening?

Instead of visiting a qualified cosmetic dentist, many people buy home teeth whitening products online and assume they will be fine using them. This is extremely dangerous as these people don’t realise there are a large number of factors your dentist takes into account before starting a teeth whitening programme.

When you come in for your consultation your dentist will ask you a number of health and lifestyle questions and give you a physical assessment. If they say you’re okay to continue, you can start your treatment with our teeth whitening kit.

However, there are certain groups of people that we can’t treat. These groups are children, pregnant women, nursing mothers, and patients who suffer with gout.

How long do veneers last?

As with most cosmetic dentistry procedures, the effects of your treatment will last much longer if you take good care of them.

Most dentists say porcelain veneers can last for up to 30 years when well cared for. The most common causes of premature failure are both trauma and tooth decay, so it is vital you do everything you can to protect and maintain your new veneers.

How many veneers do I need?

When you come in for your consultation at our surgery in Hampstead, your dentist will assess which of your teeth may require veneers. However, it is usually recommended that you go for an even number in order to ensure a mirror image on each side.

Whilst porcelain veneers are very natural looking, they will still be much less flawed than a real tooth. Veneers in sets of two, four, eight, ten or twelve tend to give the best results.

Is there anything else I should know?

It is important to note that the veneers process is irreversible, so you should definitely think about all of your options before you go ahead with anything.

Since some enamel may be removed during the preparation, it is also possible that your teeth may become more sensitive to hot and cold food and drinks.

There is also a chance that your veneers could be unsuccessful and potentially fall off. Ensure you take good care of your veneers and other teeth to make them last as long as possible.

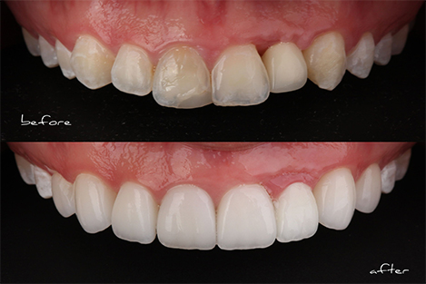
What is a crown?

Crowns are an ideal restoration for teeth, which have been broken, or have been weakened by decay or by placing a very large filling. Root treated teeth may require a crown to protect the remaining tooth.

What are crowns made of?

Crowns are made of a variety of materials and new materials are constantly introduced on the market. Different materials are used for different procedures.

 

How do I know if I am suitable for dental implants?

Most generally healthy people are suitable for dental implants. We carry out a strict series of examinations and checks to make sure implants are right for you.

How long will my treatment take?

The procedure to place your implant will only take one or two hours, but a temporary crown will be fitted until the bone and implant fuse together. This can take between three to nine months, as every patient heals differently.

If you’re having an extraction, in many cases, we may be able to place your implant in the same appointment.

Will the procedure hurt?

This is one of the most commonly asked dental implant questions we hear. But don’t worry, we’ll use a local anaesthetic when placing your implants so you won’t feel any pain.

Although the procedure may be invasive, we carry out your surgery with care; gently, cautiously and precisely. Our team are highly skilled and have extensive experience in dental implant treatments.

How long will my implants last?

Once your bone and the tissue around your implant have healed (after about 3-6 months) and your crowns are properly fitted, how long your new teeth last is completely up to you.

The quality and upkeep of how you care for them will influence their durability. Implants need the same attention as real teeth. If you take care of them properly, they’ll last you a lifetime.

How do I care for my implants?

One of the main reasons an implant will fail is due to poor oral hygiene. Remember – your dental implant is a replacement tooth, so you do have to take care of it as though it were real.

Brushing at least twice a day, flossing, having regular check-ups with your dentist and seeing a dental hygienist regularly will all help keep your implants and surviving teeth healthy.

Why does my tooth need to undergo root canal treatment?

Deep inside each of your teeth is a chamber and root canal. This is open space which contains living tissue called the pulp. You may have heard this referred to as the ‘nerve’, but actually it is more like an intricate web of fine tissue fibres, nerves and blood vessels. These are all encased and protected by your tooth enamel.

But, if a cavity was to grow large enough to reach the pulp, or if your tooth is somehow cracked, bacteria can make its way in. This can lead to infections which cannot be treated with antibiotics. Root canal treatment is the only way to effectively clear your tooth canal of any bacteria.

How is a root canal treatment carried out?

The purpose of the root canal treatment is to remove the bacteria from inside the tooth and to disinfect the root canals. This is achieved by making a small hole through the tooth into the pulp chamber, locating and measuring the root canals, then cleaning and widening them using fine instruments called files.

Does root canal hurt?

This is always the top concern for patients undergoing all kinds of dental treatment and the most commonly asked root canal question we hear. Luckily, root canal treatment is always performed under local anaesthetic.

How long does the root canal treatment take?

Root canal treatment time can vary greatly with the complexity of the procedure. This can depend on which type of tooth is being operated on, if the treatment is being redone, or on your own personal circumstances.

You may also need to come in for a follow up appointment too. Your endodontist will tell you if this is necessary at your consultation.

What type of toothbrush and toothpaste should I use?

Buy toothbrushes with soft bristles. Medium and firm ones can damage teeth and gums. Use soft pressure, for 2 minutes, two times a day. Both powered and manual toothbrushes clean teeth well. Manual brushes with mixed bristle heights or angled bristles clean better than those with all flat, even bristles. Powered toothbrushes may be easier if you have trouble using your hands. Set a reminder to replace your toothbrush every 3-4 months. Toss it sooner if the bristles look bent or splayed out. Bent bristles don't clean as well. (They're also a sign you may be brushing too hard.) Most toothpastes will clear away bacteria growth and acids from food and drinks. Toothpastes with the American Dental Association (ADA) Seal of Acceptance always have fluoride, which strengthens and protects teeth. If you want a non-fluoride option, stores carry toothpastes and powders made with natural ingredients that don't have ADA testing and approval. If cold or hot food or drinks make you cringe, pick a toothpaste for sensitive teeth and let your dentist know.

Do I really need to floss?

There's no getting around the need to get around your teeth daily with dental floss. It clears food and plaque from between teeth and under the gumline. If you don't, plaque hardens into tartar, which forms wedges and widens the space between teeth and gums, causing pockets. Over time, gums pull away and teeth loosen. Either waxed or unwaxed floss will do the job. Using floss picks or interdental brushes is another easy option.

Does a rinse or mouthwash help?

Mouthwashes for cavity protection, sensitivity, and fresh breath may help when you use them with regular brushing and flossing -- but not instead of daily cleanings. Your dentist can recommend the best type for you. Some people need twice-daily rinses for gum health or alcohol-free washes for dry mouth. Kids under 6 shouldn't use mouthwash to avoid the chance of them swallowing it.

What are early signs of dental trouble?

Visit a dentist if you have any of these issues or see your child having trouble chewing or complaining of soreness:

  • Mouth sores
  • Jaw pain
  • Redness
  • Swollen face or gums
  • Tooth sensitivity
  • Broken teeth
  • Dry mouth
  • Bleeding gums
  • Bad breath or a bad taste in your mouth

Why do I need regular dental check up?

Regular exams help spot trouble early to prevent bigger and more costly treatments later. A dental hygienist will start by cleaning buildup from your teeth. Then the dentist will probe spots on the surfaces and near the gumline with special tools. If it's been a while between appointments, you may have some sore and sensitive areas. You should get an exam every 6 months, or more often if your dentist recommends it. Find one who makes you feel at ease and lets you know what to expect. Often the dread of seeing the dentist turns to big relief when the visit is over and you have a care plan set up. Being positive as a parent can help your kids overcome any of their fears.

Are dental X-rays safe and needed?

Medical and dental experts study the use of X-rays and set limits for their safety. Your dentist should take as few as possible. Sometimes dentists may recommend X-rays to diagnose a special problem. Advancements in technology means today's digital X-rays release much less radiation and are safer than in the past.

Expect to get them during a first exam after not seeing a dentist for a while. This helps check tooth and gum health. If you have gum disease, the dentist may want pictures every 6 months. For regular check-ups, it's about every 2 years, depending on your dentist's plan.

Kids have more X-rays done than adults because their teeth are changing and because they get cavities more easily.

Do teeth need fluoride?

Fluoride helps make teeth strong and prevents decay. The American Academy of Pediatrics, the American Dental Association (ADA), and the CDC all agree that kids should use fluoride toothpaste for brushing, taking care not to swallow it. Adults benefit from using fluoride to protect their teeth, too.

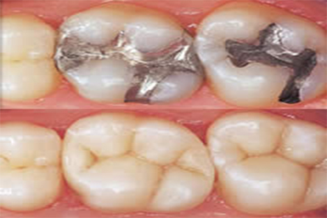
How do fillings work?

Cavities break through the surface enamel of teeth, and they'll probably get bigger unless you close them off with fillings.

Your dentist will numb your mouth before drilling around the cavity to prep it. A combination of strong materials or a white mix called a composite goes into the cavity soft and then hardens as it dries. You may feel pain or pressure when getting the numbing shot and during the drilling.

Once set, fillings can last a long time but need replacing if they break or wear down.

What do sealants do?

Sealants protect against cavities that can form in the natural tiny holes and cracks on the outside of teeth. Kids from about 6 to 12 benefit from having sealants painted and hardened onto the chewing surfaces of their back teeth, or molars. Adults can get sealants as well to protect teeth that don't have fillings.

Dentists or dental assistants put sealants on in an office visit, and it's painless. They last around 2-4 years.

What's the best way to whiten my teeth?

Stores sell many whitening products, and you can get take-home gels and trays from your dentist, but neither is as strong as procedures done in a dental office If you want to try an over-the-counter whitener, look for one with an ADA seal. Check with your dentist for advice before you buy, especially if you have dental work or dark stains. And don't keep using them, or you could damage your teeth.

How can I fix my teeth and smile?

Caps and crowns cover problem teeth by surrounding them in a material that looks like a real tooth. They use the root and inside of the tooth as a base to build on, then attach with special cement.

Veneers and bonding improve your smile by sticking a layer of smoother and whiter materials like porcelain or resin to the natural tooth.

Talk with your dentist about which fix is right for you.

Are sweets and ice really bad for my teeth?

Yes, sweets and foods with acid, like candy and soda, could stick to teeth and lead to cavities. Smoking and chewing tobacco can cause oral cancer and gum disease.

While teeth are strong enough to chew ice and tear open packages, this can break them and stress your jaws. Gritting or grinding down on teeth when you're stressed may crack them.

Biting your nails is another bad habit. It pulls your jaw out of position and changes how your teeth fit together.